导 读
本期好西例来自青岛大学附属医院淋巴瘤科薛宏伟教授的案例分享:一例老年体弱不耐受常规化疗的高危DLBCL患者,接受R-CRER方案治疗4周期获得PR且安全性良好,为后续巩固治疗争取治疗时机。
病例速递
患者基本情况
王某,男,76岁
因“反复淋巴结肿大半年”于2019-07-15第一次入科
既往史
多次因支气管扩张合并感染住院治疗;4月前开始结核杆菌抗痨治疗,复查抗酸杆菌试验转阴;高血压,冠心病;右膝关节退行性骨关节病;胆囊结石、肝囊肿病史。
查体
双侧颈前可触及数个明显肿大淋巴结,最大约2.0cm×1.0cm,表面无破溃、无发红、触之无疼痛,质韧,可推动,部分有融合。
病理检查
2019-07-11行组织病理学检查与诊断:(颈部肿物)免疫组化:CD3(-),CD20(+),Bcl-2(+),Bcl-6(-),CD10(-),c-Myc(+,50%),MUM1(+),CD21及CD23示残存滤泡树突网(+),CyclinD1(-),SOX11(-),TDT(-),Ki-67(+)90%,结合免疫组化及分子检测结果,意见为:弥漫性大B细胞淋巴瘤(非生发中心型)。分子检测:IG重排(+)。
实验室检查
血常规:三系正常。LDH432.0U/L,β2微球蛋白3.60mg/L。
EB病毒DNA:4.49E+06拷贝/mL。
骨髓流式免疫分型:骨髓中,见5.0%的异常B淋巴细胞群,免疫表型CD19+,CD20+,CD5-,CD10-。
影像学检查
2019-07-24 PET/CT全身检查:①鼻咽部顶后壁增厚,代谢增高,SUVmax约15.3;②咽周扁桃体增大,代谢增高,SUVmax约15.4;③双侧腮腺内、双侧咽旁间隙、左侧项部皮下、双侧颈部I-V区、双侧锁骨上窝、右侧胸锁乳突肌外侧皮下脂肪间隙、胸骨上窝、双侧腋窝、双肺门、纵隔内、双侧内乳区、剑突旁、腹腔、腹膜后、双侧髂血管走行区、双侧腹股沟、双侧上臂肌肉间隔内、右侧第12肋骨外脂肪间隙内、左侧盆壁皮下多发大小不等淋巴结,代谢增高,SUVmax约18.8;④脾大,弥漫性代谢增高,SUVmax约4.8;以上符合淋巴瘤,请结合临床。
诊 断
弥漫大B细胞淋巴瘤,非生发中心型,IV期AS,IPI评分4分,高危,累及鼻咽部顶后壁、扁桃体、脾、横膈上下多发淋巴结。
一线治疗中期评估PR,但患者感染且免疫功能低下,停药后进展
2019-07-26至2019-09-08
3周期R-CDOP方案化疗(美罗华700mg d0+环磷酰胺1.4 d1+多柔比星脂质体40mg d1+长春新碱2mg d1+强的松100mg d1-5)
2019-09-29
患者因低热入院,胸部CT提示合并肺部感染,抗感染治疗半月后复查CT肺部炎症较前好转不明显。患者免疫功能状态低下(CD4绝对计数 37.00cells/μl),拒绝治疗及检查,并暂缓全身静脉化疗。
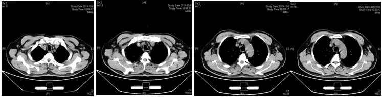
2019-10-06
行颈胸腹盆腔部位加强CT,中期疗效为PR

2019-11-15

考虑患者年龄较大、免疫力低下、合并有肺结核、感染,治疗方案更换为R-CPER口服方案,以期控制肿瘤,减少不良反应,争取后续治疗机会
2019-12-28至2020-03-25:4周期R-CPER方案治疗(美罗华600mg静脉泵入+西达本胺片20mg biw+强的松100mg d1-5+依托泊苷100mg d1-5+来那度胺胶囊10mg d1-14)(21天一治疗周期)
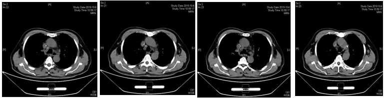
4周期R-CPER后复查颈胸腹盆腔加强CT,双侧腋窝淋巴结较前消失、减少,纵膈淋巴结较前部分增大(组织病理学检查未发现恶性肿瘤细胞),疗效评估:PR,提示治疗有效。患者体能状况好转,有条件接受后续治疗。
巩固治疗
该患者初诊时疾病累及范围广泛伴有预后不良因素,因肺部感染未能完成规范治疗以致疾病进展,R-CPER方案治疗后PR,且体能恢复较好,有条件继续接受巩固治疗。为预防疾病反复,建议患者巩固4周期BR方案
2020-05-15起给予BR巩固治疗,具体用药:美罗华0.6g d1+苯达莫司汀125mg d2-3。目前已进行了3周期BR方案巩固治疗,患者可耐受,影像学提示CR
药物协同探索
1.Romi-Lena联合给药显著降低T细胞淋巴瘤细胞株存活率1

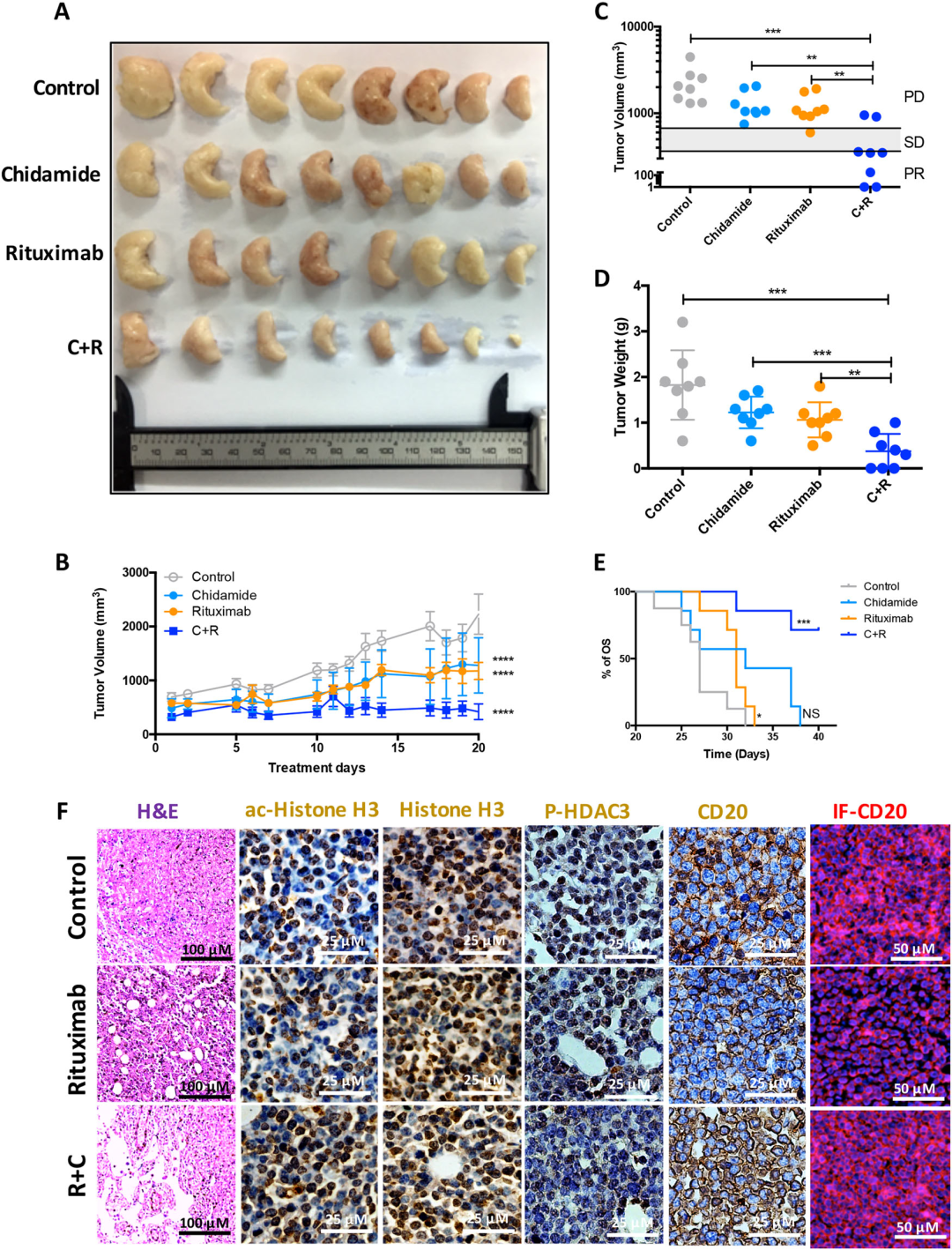
2.Chidamide-Rituxmab联合给药显著抑制肿瘤生长并延长荷瘤小鼠生存2
-
免疫组化显示,R作用后小鼠瘤体CD20表达明显减低,而加用Chi后CD20表达恢复;且R单药对H3乙酰化及H3磷酸化无影响,当Chi+R联合时,H3乙酰化显著升高,H3磷酸化显著降低(下图F)
-
Chi通过上调CD20表达,协同增效R,克服DLBCL肿瘤细胞对R的耐药

点 评


Ref
1.Cosenza M, et al. The histone deacetylase inhibitor Romidepsin synergizes with Lenalidomide and enhances tumor cell death in T-cell lymphoma cell lines[J]. Cancer Biology & Therapy, 2016, 17(10): 1094-1106
2.FT Liu,HQ Wang,etal.Novel HDAC inhibitor Chidamide synergizes with Rituximab to inhibit diffuse large B-cell lymphoma tumour growth by upregulating CD20. Cell Death Dis. 2020 Jan 6;11(1):20.