来源:肿瘤资讯


点击观看孙春晓医生、李薇教授完整病例解读


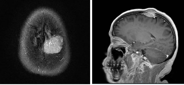
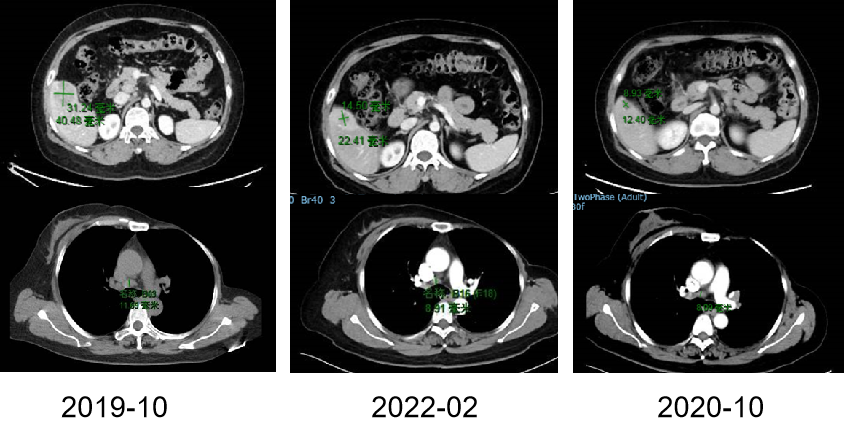
图1


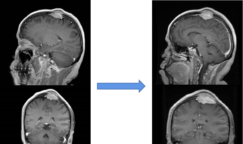
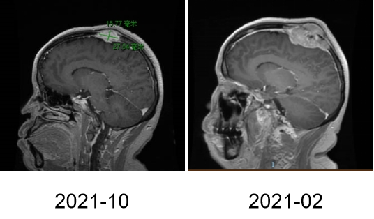
图2A

图2B


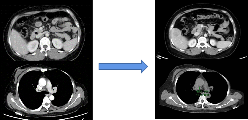
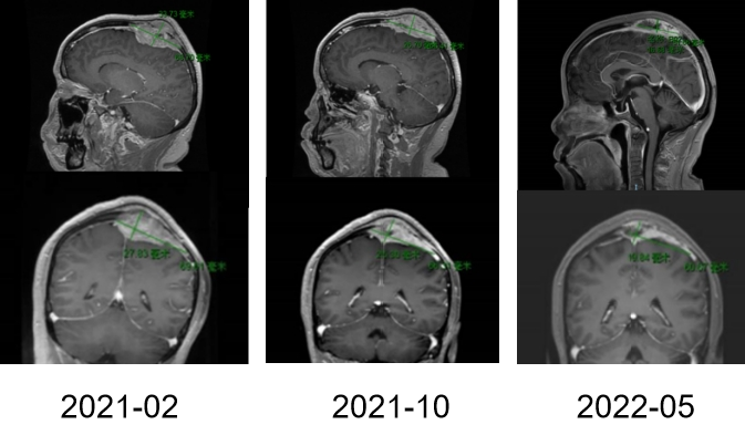
图3A

图3B

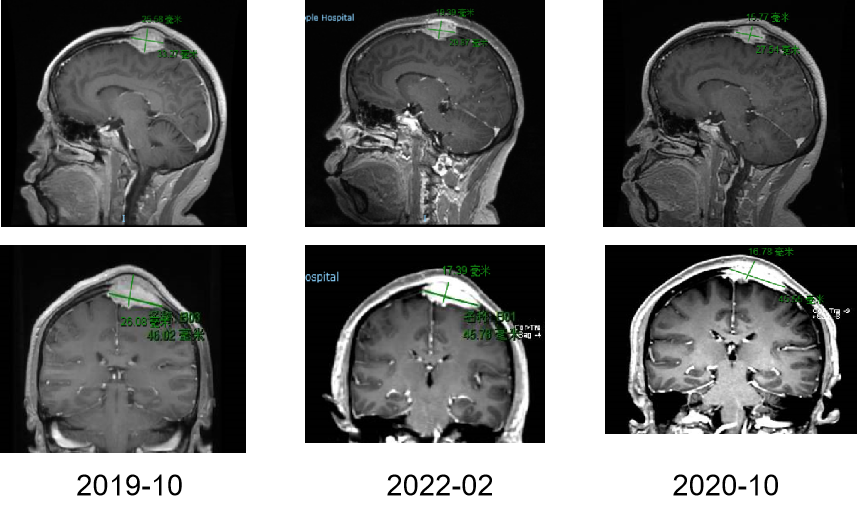
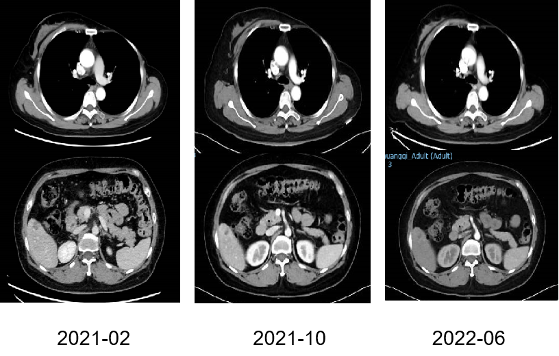
图4


图5A

图5B

参考文献(上下滑动查看)
[1] International Consensus Guidelines for Advanced Breast Cancer ABC GUIDELINES (ABC6)
[2] Cristofanilli M , et al. Overall survival (OS) with palbociclib (PAL) + fulvestrant (FUL) in women with hormone receptor–positive (HR+), human epidermal growth factor receptor 2–negative (HER2–) advanced breast cancer (ABC): Updated analyses from PALOMA-3. J Clin Oncol. 2021;39(suppl 15):1000. doi:10.1200/JCO.2021.39.15_suppl.1000
[3] Neven P, et al. Updated Overall Survival Results From the First-Line Population in the Phase III MONALEESA-3 Trial of Postmenopausal Patients With HR+/HER2− Advanced Breast Cancer Treated With Ribociclib + Fulvestrant. 2022 ESMO BC, LBA4.
[4] Neven P, Johnston SRD, Toi M, et al. MONARCH 2: subgroup analysis of patients receiving abemaciclib plus fulvestrant as first-line and second-line therapy for HR+, HER2- advanced breast cancer [published online ahead of print, 2021 Aug 10]. Clin Cancer Res. 2021;clincanres.4685.2020. doi:10.1158/1078-0432.CCR-20-4685
[5] Goetz, Matthew P et al. “MONARCH 3: abemaciclib As Initial Therapy for Advanced Breast Cancer.” Journal of clinical oncology: official journal of the American Society of Clinical Oncology vol. 35,32 (2017): 3638-3646. doi:10.1200/JCO.2017.75.6155
[6] 2021 CSCO乳腺癌诊疗指南.
[7] 2022 CSCO乳腺癌诊疗指南.
[8] 2021中国抗癌协会乳腺癌诊治指南与规范.